O início dos sintomas sistêmicos precede geralmente o início da retinopatia diabética em 3 a 5 anos, nos pacientes jovens insulino dependentes. Já o paciente idoso, geralmente não insulino dependente, tem uma doença mais lenta e silenciosa e geralmente os sintomas visuais aparecem no momento do diagnóstico da doença, mas o quadro ocular já existe há anos.
Nos pacientes jovens, TIPO I (insulino dependentes), em 15 anos de diabetes 50% dos pacientes já apresentam lesão retiniana, já em pacientes idosos com diabetes TIPO II ( hipoglicemiantes via-oral) estima-se que em 10 anos de doença 25% dos pacientes desenvolvem doença retiniana.
A retinopatia diabética é dividida em 2 grandes grupos, a não proliferativa e a proliferativa. A doença não proliferativa cursa com baixa de visão devido a edema de macula, hemorragias e exsudatos (“gordura”) , a doença proliferativa é muito mais severa, com risco elevado de perda completa da visão se não for tratada a tempo.
Outras situações agravam ainda mais o quadro de diabetes ocular, sendo o colesterol alto, hipertensão arterial, obesidade e sedentarismo os mais importantes. Assim, um controle apropriado da doença sistêmica é fundamental para recuperação visual dos pacientes, bem como dieta e exercícios físicos.
O tratamento com laser de retina é o mais antigo e o que na maioria das vezes é realizado, mesmo hoje, com o surgimento das medicações intraoculares que tendem a retardar o processo, mas tem ação curta e necessita de várias aplicações, tendo sido muito utilizado no edema macular. Mais recentemente observou-se ainda que nos casos em que se realiza tratamento medicamentoso prévio ao laser (tratamento combinado), o resultado visual tende a ser melhor.
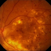
Retinopatia Diabética
O início dos sintomas sistêmicos precede geralmente o início da retinopatia diabética em 3 a 5 anos, nos pacientes jovens insulino dependentes. Já o paciente idoso, geralmente não insulino dependente, tem uma doença mais lenta e silenciosa e geralmente os sintomas visuais aparecem no momento do diagnóstico da doença, mas o quadro ocular já existe há anos.
Nos pacientes jovens, TIPO I (insulino dependentes), em 15 anos de diabetes 50% dos pacientes já apresentam lesão retiniana, já em pacientes idosos com diabetes TIPO II ( hipoglicemiantes via-oral) estima-se que em 10 anos de doença 25% dos pacientes desenvolvem doença retiniana.
A retinopatia diabética é dividida em 2 grandes grupos, a não proliferativa e a proliferativa. A doença não proliferativa cursa com baixa de visão devido a edema de macula, hemorragias e exsudatos (“gordura”) , a doença proliferativa é muito mais severa, com risco elevado de perda completa da visão se não for tratada a tempo.
Outras situações agravam ainda mais o quadro de diabetes ocular, sendo o colesterol alto, hipertensão arterial, obesidade e sedentarismo os mais importantes. Assim, um controle apropriado da doença sistêmica é fundamental para recuperação visual dos pacientes, bem como dieta e exercícios físicos.
O tratamento com laser de retina é o mais antigo e o que na maioria das vezes é realizado, mesmo hoje, com o surgimento das medicações intraoculares que tendem a retardar o processo, mas tem ação curta e necessita de várias aplicações, tendo sido muito utilizado no edema macular. Mais recentemente observou-se ainda que nos casos em que se realiza tratamento medicamentoso prévio ao laser (tratamento combinado), o resultado visual tende a ser melhor.
Transplante de Córnea
A Córnea é uma estrutura fundamental e indispensável para uma boa função visual. Assim, é preciso que ela seja transparente e que mantenha sua curvatura normal para que a imagem chegue até a retina.
Quando a córnea tem alterações na sua forma, perda de sua transparência por enfermidades hereditárias, lesões, infecções, queimaduras por substâncias químicas, enfermidades congênitas ou outras causas, a pessoa pode ter a visão bastante reduzida ou até perder a visão.A principal indicação para o transplante hoje é o ceratocone.
O transplante de córnea consiste na substituição da córnea (doente) do paciente, por uma córnea saudável doada. Após a realização da cirurgia o paciente recebendo alta no mesmo dia.
Para realizar o transplante de córnea os médicos e hospital devem estar cadastrados no Sistema Nacional de Transplantes do Estado ao qual pertencem. Em Joaçaba no HUST já foram realizados 201 transplantes de córnea pelo Dr. Ricardo Stock e Dr. Luiz Carlos Belotto.
Os candidatos ao transplante de córnea devem passar primeiro por uma avaliação minuciosa por um médico oftalmologista para poderem ser cadastrados no Sistema Nacional de Transplante. A fila de espera é única e tem o objetivo promover acesso ao transplante de forma igualitária.
No transplante de córnea existem chances de rejeição, porém hoje com aperfeiçoamento das técnicas cirúrgicas e aparelhos modernos a cirurgia apresenta alta porcentagem de sucesso. Normalmente varia entre 80 e 90% de sucesso em situações não complicadas (de acordo com estatísticas mundiais).
Medicamentos intra-oculares
O desenvolvimento de medicamentos para aplicação intra-ocular têm atraído investimentos da indústria farmacêutica e nos últimos anos vêm crescendo rapidamente o uso de medicamentos administrados via intra-ocular.
Há várias formas de obter altas doses intra-oculares de medicamentos, destacando-se a injeção justa-escleral, implantes intra-oculares e INJEÇÃO INTRAVÍTREA. Essa última técnica possui menor complexidade, maior precisão e por essa via, quantidades significativas da droga são aplicadas diretamente sobre o tecido retiniano.
Atualmente doenças retinianas como Degeneração Macular Relacionada a Idade (DMRI), Retnopatia Diabética , Obstruções Vasculares Retinianas e doenças inflamatórias podem ser tratadas com sucesso por administração intra-ocular de medicamentos.
Uso e manutenção dos colírios
Abaixo listamos alguns cuidados básicos e fundamentais para se obter o máximo proveito dos medicamentos de uso tópico na oftalmologia:
1-Não usar colírios sem orientação oftalmológica;
2-Verificar a data de validade dos frascos;
3-Deixar frascos fechados e ao abrigo da luz solar;
4-Lavar bem as mãos antes de usar os colírios;
5-Não encostar o frasco no cílios ;
6-Pingar apenas uma gota de cada vez, de preferência deitado(a);
7-Se houver tratamento combinado com mais de um medicamento respeitar o intervalo mínimo de 5 minutos entre eles;
8-Após administrar o medicamento deixar os olhos fechados por 5 minutos;
9-Após o término do tratamento desprezar o medicamento.
Sul-Brasileiro 2015
Dr. Ricardo Stock é convidado para apresentar seu caso mais difícil de catarata. Com grande experiência e habilidade cirúrgica, o Dr. Ricardo demoonstrou três técnica distintas para se operar cataratas avançadas, sob a facoemulsificação.
Na oportunidade o Dr. Carlos Ramos também aproveitou o evento para se atualizar.
Glaucoma
Doença ocular causada principalmente pela elevação da pressão intraocular que provoca lesões no nervo óptico e, como consequência, comprometimento visual. Se não for tratado adequadamente, pode levar à cegueira.
Pacientes negros têm maior propensão a desenvolver pressão alta, bem pessoas com mais de 35 anos e os portadores de diabetes. O histórico familiar também é importante para o diagnóstico, pois cerca de 6% das pessoas com glaucoma já tiveram outro caso na família.
O glaucoma crônico – tipo mais comum da doença – exige o uso constante de colírios, porque não tem cura.
Para fazer o diagnostico correto, bem como para acompanhamento do tratamento, faz-se necessário a realização de exames complementares. A Campimetria Computadorizada avalia a perda de campo visual decorrente do glaucoma, através da Fotografia Estereoscópica de Papila podemos documentar o nervo óptico e a Tomografia de Coerência Óptica(OCT) permite avaliar com precisão a camada de fibras nervosas.
SIMASP 2015
Profissionais do Centro oftalmológico Belotto Stock participam do 38 Congresso da Escola Paulista de Medicina, buscando sempre a atualização profissional.
Adição do selamento entre conjuntiva e cápsula de Tenon em cirurgia de pterígio primário
Resumo: Objetivo: Avaliar os resultados de uma abordagem cirúrgica alternativa na excisão de pterígio primário por meio da observação das taxas de recidiva e de complicações intraoperatórias e pós-operatórias. Métodos: Estudo retrospectivo e transversal realizado a partir da revisão de prontuários de pacientes submetidos à cirurgia de pterígio com transplante autólogo de conjuntiva, cola de fibrina e aplicação intraoperatória de mitomicina C. Além disso, foi realizado através de sutura, o selamento da lacuna entre a conjuntiva e cápsula de Tenon. No total, 36 olhos de 35 pacientes foram submetidos à técnica. As variáveis do estudo foram complicações da cirurgia e taxas de recidiva durante um período mínimo de 6 meses de seguimento. Resultados: Não foram constatadas recidivas durante o tempo de seguimento. Um enxerto (2,8%) desenvolveu retração parcial, sem posterior recorrência do pterígio, e um olho (2,8%) apresentou aumento da pressão intraocular, que foi controlada clinicamente. Conclusão: A criação de uma barreira entre a conjuntiva e cápsula de Tenon, por meio do selamento da lacuna, mostrou ausência de recidiva na amostra estudada. Necessita-se, no entanto, de um estudo prospectivo randomizado com grupo controle para uma conclusão mais precisa da eficácia da técnica.
Clique AQUI para realizar o download do artigo completo em PDF.
Tratamento cirúrgico do pterígio com uso de membrana amniótica
Introdução: O pterígio é uma afecção da superfície ocular frequente em países tropicais. No momento, dispõe-se de diversas técnicas cirúrgicas para tratá-lo, sendo o principal desafio diminuir a taxa de recorrência. Objetivo: Descrever os resultados das cirurgias de pterígio primário com uso de transplante de membrana amniótica, cola de fibrina e mitomicina C intraoperatória. Resultados: No total, 30 olhos de 29 pacientes foram submetidos à técnica entre Janeiro de 2009 e Novembro de 2010. Durante o seguimento mínimo de seis meses, ou até que ocorresse recidiva conjuntival ou corneana, observou-se 14 (46,6%) casos de recidiva conjuntival, 7 (23,3%) de recidiva corneana e 3 (10%) de restrição da motilidade ocular. Conclusão: Por haver outras modalidades cirúrgicas com melhores resultados, inferiu-se que esta técnica não deva ser recomendada como primeira escolha no tratamento do pterígio primário.
Clique AQUI para realizar o download do artigo completo em PDF.
Retinopatia solar sem exposição anormal: relato de caso
Resumo: Retinopatia solar é o dano fotoquímico à retina causado, geralmente, pela observação solar, direta ou indireta, devido ao uso de drogas alucinógenas, distúrbios psíquicos ou durante eclipses. Pode haver, ou não, perda de acuidade visual. Relata-se o caso de uma paciente, 38 anos, com quadro de retinopatia solar em olho esquerdo, sem história prévia de exposição solar, apresentando acuidade visual normal e queixa de metamorfopsia. A tomografia de coerência óptica mostrou ruptura do epitélio pigmentar da retina, confirmando retinopatia solar padrão II. A acuidade visual tende a normalizar-se entre 3 a 9 meses, mas nem sempre. Assim, enfatiza-se a necessidade de orientação à população sobre proteção ocular durante exposição solar pela possibilidade de existirem pessoas com susceptibilidade elevada ao dano retiniano, como se presume possa ter ocorrido com esta paciente. Finalmente, destaca-se a importância da tomografia de coerência óptica para o diagnóstico da retinopatia solar.
Clique AQUI para realizar o download do artigo completo em PDF.